CASES 症例紹介
ここでは特徴的な症例について、一部をご紹介いたします。
※手術の写真を掲載しておりますので、苦手な方はご注意ください。
小滝橋動物病院グループ全体の外科症例件数については、>こちらをご参照ください。
一般外科症例

大腿骨頭・骨頚部切除の犬の1例(整形外科、レッグ・カルベ・ペルテス病、骨頭壊死、股関節)

レッグ・カルべ・ペルテス病(LCPD)とは、小型犬の幼少期(特に6〜8ヶ月齢のトイプードル)に多く認められる整形外科疾患です。

股関節を形成する大腿骨(モモの骨)の骨頭部分の血流が何らかの原因で阻害される結果、虚血性壊死を起こし、骨頭部分が剥離骨折をしたり関節炎を誘発してしまいます。そのような状況ではとても激しい痛みが伴います。 
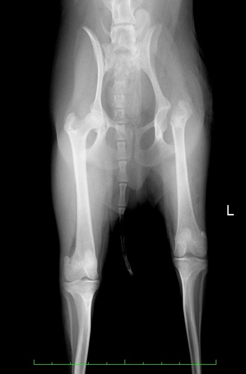
術前の股関節のX線写真では、正常な右の大腿骨頭は綺麗な球形ですが、左は球形が崩れ、X線の透過性も変化しまだらに見えています。(赤矢印)
またモモの筋肉の太さが明らかに違います。(緑線)
罹患肢の左が細いのは、廃用性萎縮といい、痛みによって長期間うまく体重をかけられなかった結果として筋肉が痩せてしまったことによります。
術前X線
この疾患の治療の第一選択は外科療法です。
様々な手技が考案されていますが、今回は最も一般的な手技である大腿骨頭・骨頚部切除術を行いました。

術後のX線写真では痛みの原因になっていた左の大腿骨頭が無くなっているのが分かります。
この部分は股関節の関節構造は無くなってしまいますが、線維組織によって置換されることにより偽関節が形成され、
早い子では術後3ヶ月程度で飼主様から見ても正常肢と見分けが付かないほど機能回復します。
術後X線
術中、骨頭・骨頚部切除前
術中、骨頭・骨頚部切除後。Cアームという特殊なX線装置を使い、切除ラインが適切かどうかを確認します
切除後の骨頭部。本来は滑らかな球形ですが、表面がボロボロになり剥離してしまっているのが分かります
文責:獣医師(文京区本駒込動物病院) 多喜

本駒込動物病院
〒113-0021 文京区本駒込2-27-10  03-5319-1927
[一般外科症例一覧]