CASES 症例紹介
ここでは特徴的な症例について、一部をご紹介いたします。
※手術の写真を掲載しておりますので、苦手な方はご注意ください。
小滝橋動物病院グループ全体の外科症例件数については、>こちらをご参照ください。
一般外科症例

膝蓋骨高位症を伴った膝蓋骨内方脱臼パテラの犬の1例(整形外科、膝、お皿の骨、パテラアルタ)

膝蓋骨脱臼は小型犬で最も多く見られる整形外科疾患の1つでありますが、中~大型犬でも小さい子と同じように膝蓋骨(パテラ、膝のお皿の骨)が脱臼してしまう子がいます。体重が重い分、一度脱臼による症状が出てしまうと、なかなか鎮痛剤などの内科治療だけでは良化しない子が多い印象を持っています。

今回の症例は体重が20㎏前後の大型犬であり、『散歩や日常生活の中でも左後肢を急に痛がって挙上してしまうことがある、自然と治るが同様症状を繰り返す』という主訴で来院されました。
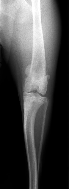
触診、X線、各種検査により、跛行の原因は膝蓋骨内方脱臼GradeⅡと診断しました。
GradeⅡは日常生活の中で脱臼と整復を繰り返す重症度であり、脱臼をした際に症状が強く出てしまう傾向があります。

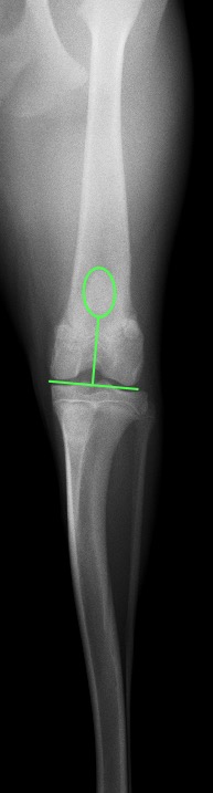
加えて、膝蓋骨高位症があることが分かりました。膝蓋骨高位症は膝蓋骨が通常よりも高い位置にある足の形のことで、膝の伸展時に膝蓋骨が脱臼しやすいことが知られています。


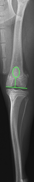
次の2枚の写真はパテラアルタのある今回の子と正常の子の膝関節と膝蓋骨の位置を示したものです。
脱臼時の膝関節
パテラアルタの膝関節
正常膝関節
次の写真は右が術前の脱臼時、左が術後になります。
膝蓋骨が大腿骨の真ん中にしっかりと整復されているのが分かるかと思います。

今回の手術は通常のブロック型の滑車溝造溝術に近位側にウエッジ型の造溝術を加え、膝蓋骨が高い位置に来た場合でも脱臼しないようにしました。
術後の経過も良好であり、もちろん再脱臼もなく、日常生活で後肢を気にすることもなくなったそうです。
文責:獣医師 多喜

本駒込動物動物病院
〒113-0021 文京区本駒込2-27-10  03-5319-1910
[一般外科症例一覧]