ここでは特徴的な症例について、一部をご紹介いたします。
※手術の写真を掲載しておりますので、苦手な方はご注意ください。
小滝橋動物病院グループ全体の外科症例件数については、>こちらをご参照ください。
大腿骨頭切除(FHNE・FHO)を実施した犬の1例(整形外科、レッグカルベペルテス病、LCPD、大腿骨頭壊死症、股関節)
散歩中に右の後ろ足を気にして挙げてしまう、その頻度が増えてきたという1歳未満のプードルMIXのワンちゃんでした。
院内での歩行検査では右後肢の跛行が認められ、触診検査では右側において臀部から大腿部にかけての筋萎縮、股関節伸展痛、左右の膝蓋骨内方脱臼(パテラ)が検出されました。
触診後、膝関節と股関節のX線検査を行いました。
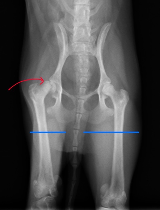
X線検査において、右大腿骨頭部のの剥離骨折が認められ(赤矢印)、背景にレッグカルベペルテス病(LCPD、無菌性虚血性大腿骨頭壊死症)(以下LCPD)の存在が疑われました。
また、右側の大腿部の筋萎縮が顕著に認められました(青線)。
これは廃用性萎縮といい、しばらくの間、股関節の痛みから右後ろ足をかばって生活していたためと考えられます。
術前X線 右大腿骨頭部の骨折(赤矢印)/ 大腿部の筋萎縮(青線)
LCPDは正確な原因はまだ分かっていませんが、大腿骨頭部への血液供給が阻害される結果骨頭部が壊死してしまう病気です。骨頭部の壊死が進むと骨頭表面に微細な骨折が多発し、体重がかかると痛みが生じてしまいます。
正確に同じとは言えませんが、人医療では指定難病となっている病気でもあります。

「3Dビジュアルで学ぶ犬の関節解剖学」 より引用
飼主様とご相談の上、大腿骨頭切除術を実施いたしました。
「関節が無くなって歩けるのか?」といった質問を受けることが多いですが、もちろん歩けるようになります。
術後一定のリハビリ期間は必要ですが、日常生活に支障がないほどまで回復が見込めます。
術後X線
文責:獣医師
多喜
本駒込動物動物病院
〒113-0021 文京区本駒込2-27-10 03-5319-1910
(豊島区・北区、駒込駅・千石駅近く)