CASES 症例紹介
ここでは特徴的な症例について、一部をご紹介いたします。
※手術の写真を掲載しておりますので、苦手な方はご注意ください。
小滝橋動物病院グループ全体の外科症例件数については、>こちらをご参照ください。
一般外科症例

膝蓋骨内方脱臼パテラを併発した前十字靭帯損傷・断裂の犬の1例(整形外科、膝、パテラ、TPLO、手術)

膝蓋骨(パテラ、膝のお皿の骨)の脱臼は犬で最も多く見られる整形外科疾患の1つであり、その多くは生まれ持っての解剖学的な問題による先天性のものです。稀ではありますが猫でも見られます。

日常的に膝蓋骨が脱臼する子は常に膝が内側に引っ張られるような力がかかっており、膝の中にある前十字靭帯に過剰な負荷がかかっていることが多くあります。(赤矢印)

年齢を重ねるごとに靭帯は弱ってしまうため、このような状態が続くとある日前十字靭帯が損傷・断裂してしまうことがあります。
前十字靭帯が損傷すると膝関節が不安定になり、ももの骨とすねの骨が前後にずれるような状態になります。
これによりうまく体重を支えられなくなり、多くの子は足を着けなくなってしまいます。
左:正常膝関節 / 右:前十字靭帯を損傷し不安定性が見られる膝関節
本症例は膝蓋骨内方脱臼に対する手術を行い脱臼を整復すると同時に、前十字靭帯損傷による膝の不安定性に対しTPLO(Tibial Plateau Leveling Osteotomy:脛骨高平部水平化骨切術)を実施しました。

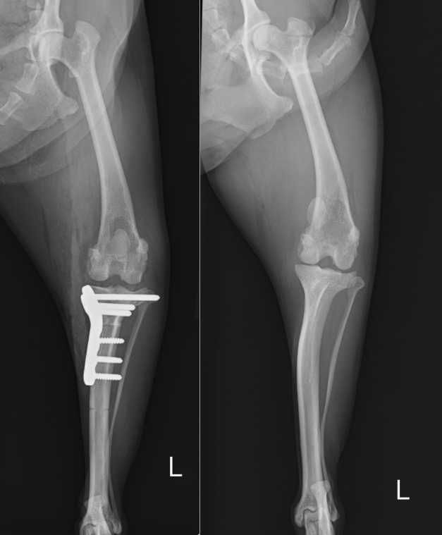
手術前と手術後のX線写真を比べると、膝のズレが解消し、お皿の骨も真ん中に整復されていることが分かるかと思います。
左:術後 / 右:術前
左:術後 / 右:術前
手術前は痛みと違和感で全く足を使えない状態でしたが、術後約1か月後の現在はかなり足を使えるようになり走れるほどです。

回復は順調であり、飼主様にもとても喜んでいただけました。





文責:獣医師 多喜

本駒込動物動物病院
〒113-0021 文京区本駒込2-27-10  03-5319-1910
(豊島区・北区、駒込駅・千石駅近く)
[一般外科症例一覧]