CASES 症例紹介
ここでは特徴的な症例について、一部をご紹介いたします。
※手術の写真を掲載しておりますので、苦手な方はご注意ください。
小滝橋動物病院グループ全体の外科症例件数については、>こちらをご参照ください。
一般外科症例

成長板骨折(若齢期、骨折、骨の成長)

成長板と成長板骨折

成長板とは、正式には骨端軟骨という骨の端っこ(骨端)に存在する軟骨組織のことで、成長期の骨の成長を担っていることから成長板と呼ばれたり、存在する部位から骨端板と呼ばれたりします。
この成長板から細胞が分裂し、成長することで骨が長く大きく成長していきます。
種差や個体差にもよりますが、11カ月齢頃になると成長板は完全に骨に置換され、骨の成長が終わります。(成長板の閉鎖)
つまり、成長板は若齢期には存在するが、成長が終わり、成犬・成猫になると消失し認められなくなります。
成長板は周囲の骨組織と比べると脆弱で、外力に対する抵抗が低いため、弱い衝撃などでも容易に剥離し、骨折してしまうことがあります。(成長板骨折)
成長板骨折は大きく5つのタイプに分類され、Type1〜4は成長板における剥離骨折ですが、Type5は成長板に圧力が加わる圧迫骨折で成長板の成長が阻害され、骨の長さや関節の整合性にまで影響を及ぼしてしまうことがあります。(成長板早期閉鎖)
 単純X線検査における四肢の成長板(矢印が成長板です)
  成長板骨折の分類(Salter-Harris分類)

成長板骨折の症例

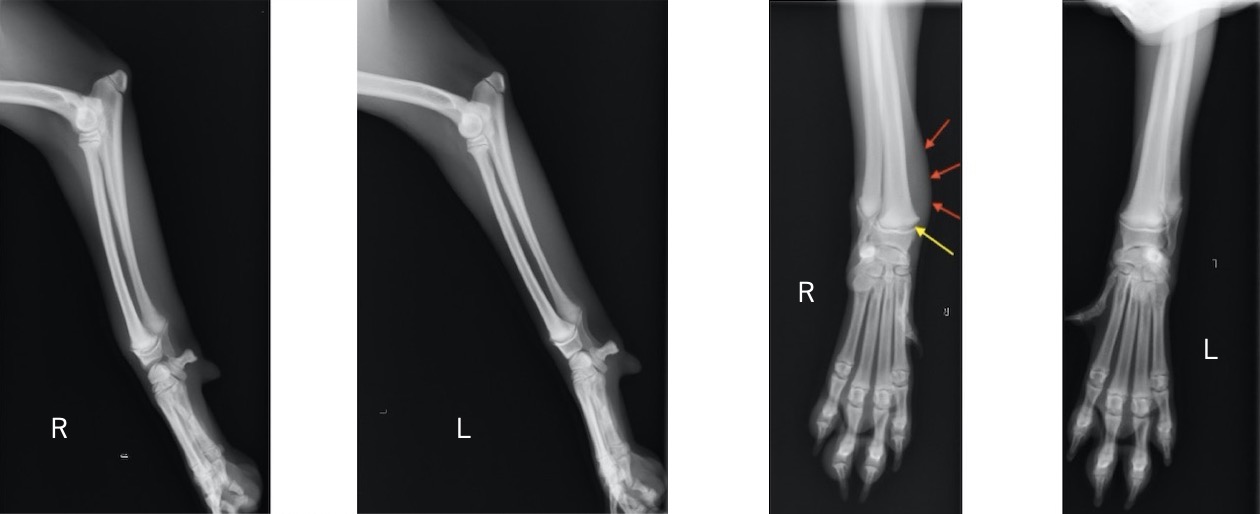
柴犬 雌 6ヵ月齢
自転車の後部座席より落下、右前肢の挙上を主訴に来院。
触診上、手根部の腫脹と圧痛が認められました。
単純X線画像検査上、側面像では大きな左右差は認められませんでしたが、背掌像にて右前肢の軟部組織の腫脹と成長板の間隙が広くなっていることから橈骨遠位成長板骨折(Salter-Haris Type1)と診断し、外科的処置を行いました。
 初心時のX線画像検査初見 赤矢印:軟部組織の主張、黄矢印:橈骨遠位成長板(左前肢と比較すると、成長板の隙間が広くなっております)
 キルシュナーワイヤーを用いたクロスピン法にて整復しました
 術後約1ヵ月後 挙上が認められなくなり、患肢に負重をかけて歩行ができるようになったため、キルシュナーワイヤーを抜去しました

成長板骨折の症例2

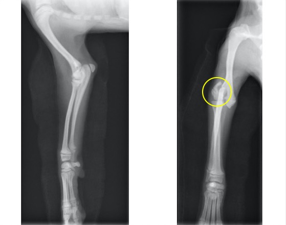
トイプードル 雌 3ヵ月齢
ソファーの背もたれから落下後、右前肢居城を主訴に来院。
両前肢の明らかな左右差は認められませんでしたが、触診検査において右側肘関節における圧痛を確認しました。
単純X線検査を実施したところ、上腕骨遠位外顆骨折が認められ、上腕骨遠位の成長板をまたぐ骨折であったことから成長板骨折(Salter-Haris Type4)と診断して外科的処置を実施しました。
 背掌像より上腕骨遠位外顆の骨折が認められました
 内外側の上腕骨顆を皮質骨スクリューとキルシュナーワイヤー、外側上顆をキルシュナーワイヤーにて固定しました
成長板骨折は若齢期の外傷によって生じる代表的な整形外科疾患で、ぶつかってしまったり、気付かずに踏んでしまう、高所からの落下などによって生じます。
痛がるケースがほとんどですが、一時的な疼痛を示す場合もあるため、そのままにせずご相談いただけたらと思います。
執筆担当:獣医師 初山
本駒込動物病院
東京都文京区本駒込2-27-10
TEL 03-5319-1910
[一般外科症例一覧]