CASES 症例紹介
ここでは特徴的な症例について、一部をご紹介いたします。
※手術の写真を掲載しておりますので、苦手な方はご注意ください。
小滝橋動物病院グループ全体の外科症例件数については、>こちらをご参照ください。

誤食・胃内異物(内視鏡、胃切開)

散歩中に誤って石を飲み込んでしまったとの主訴で来院された症例です。

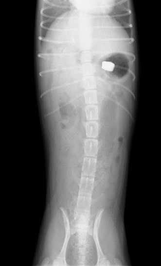
すぐにX線検査を行ったところ、胃内に石と思われる2㎝弱のX線不透過物が見つかりました。
横からのX線写真。白く写っているものが石と思われる異物です。参考のため、近くにあった石を一緒に写しています。
仰向けでのX線写真。
X線検査の結果、ご飯と一緒に胃内にあることが分かったため、催吐処置(薬を使って吐かせること)を行い、異物の取り出しを試みました。
しかし、胃内のフードは全て吐いてくれたにも関わらず、異物は出てきませんでした。
催吐直後。胃内は空になりましが、異物は胃内に留まっているのが分かります。
胃から腸に流れ、いずれ便として出てくるのを待つということも一つの選択肢ではありますが、
体格や腸の径に対して異物のサイズが大きかったため、飼主様と相談の上、麻酔下内視鏡により異物を取り出す処置を行うこととなりました。
内視鏡の映像。バスケット型の先端を広げたり閉じたり出来るため、石を掴むことができます。
散歩中に拾い食いの癖があったり、家の中でも遊び半分でいろいろな物を口に入れてしまうわんちゃん・ねこちゃんは意外と多いかと思います。

飲み込んでしまったものによっては中毒症状を引き起こしたり、食道や腸に詰まってしまうことによってメスを入れ外科的に取り除かなくてはいけなくなることもあります。

誤食をしてしまったかどうか飼主様が確信できない場合でも、X線や超音波検査によって早期に発見できることも多くありますので、気になることがありましたらまずはご相談していただければと思います。



文責:獣医師 多喜
[内科症例一覧]