CASES 症例紹介
ここでは特徴的な症例について、一部をご紹介いたします。
※手術の写真を掲載しておりますので、苦手な方はご注意ください。
小滝橋動物病院グループ全体の外科症例件数については、>こちらをご参照ください。

好酸球性腸炎の猫の1例(内視鏡、嘔吐、下痢、消化器)

猫の好酸球性腸炎は〈嘔吐〉〈下痢〉の症状が認められ、免疫疾患やアレルギーが原因とされています。
症状が長期的に継続すると〈体重減少〉が認められることもあります。
超音波検査で消化管の異常を把握することは可能ですが、内視鏡検査や開腹での生検を行わないと確定診断は行えません。
治療はステロイド・免疫抑制剤の内服または、アレルギー食への変更などの内科療法が基本となります。


消化器症状で来院された猫が、内視鏡検査において好酸球性腸炎と診断されたので紹介します。
8歳のシンガプーラで、2,3日前より嘔吐・下痢・血便が出るとのことで来院されました。
血液検査で膵臓の数値LIP:50U/I (正常値:<30)、レントゲン検査では異常は特にありませんでした。
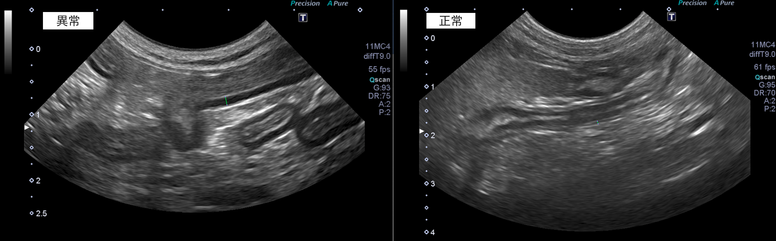
超音波検査では、消化管の構造の一部肥厚が認められました。
以上のことから膵炎と診断し胃腸薬の内服を開始しました。
その後内服が終了すると症状が再発するため、CT検査・内視鏡検査を実施しました。
CT検査では異常はなく、内視鏡検査でも明らかな炎症の所見などは認められませんでした。
胃・十二指腸・小腸から粘膜を採取し病理検査を実施したところ、好酸球性腸炎と診断されました。
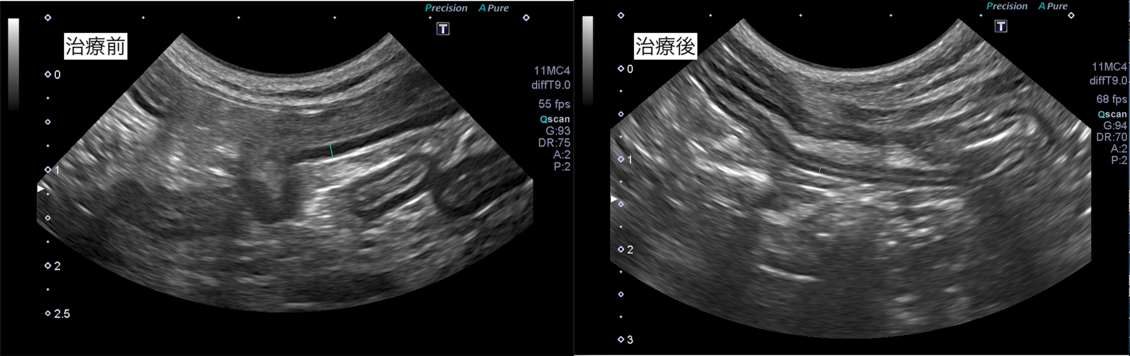
本症例はステロイドの内服を開始したところ、症状が改善しました。
現在はステロイドの効果もあり、胃薬を飲まなくても症状は再発しておりません。
また超音波検査でも粘膜の肥厚は改善傾向です。
消化器症状が長期的に継続するような子は、確定診断に内視鏡が有用な場合があります。
ご質問がございましたら、お気軽にご相談ください。



文責:獣医師 横山

本駒込動物動物病院
〒113-0021 文京区本駒込2-27-10  03-5319-1910
[内科症例一覧]