CASES 症例紹介
ここでは特徴的な症例について、一部をご紹介いたします。
※手術の写真を掲載しておりますので、苦手な方はご注意ください。
小滝橋動物病院グループ全体の外科症例件数については、>こちらをご参照ください。

肉芽腫性髄膜脳脊髄炎と診断した犬の1例(MRI、GME、脳炎、神経症状、ふらつく、眼振)

ある日、「前日より足腰が立たず腰が抜けたよう」というわんちゃんが来院されました。

前日にかかりつけの動物病院を受診し脊髄疾患(椎間板ヘルニアなど)の可能性を指摘され内服薬を飲んだものの症状が悪化してきていることと、かかりつけの病院さんが休診日であったため、当院に来院されました。


来院時、姿勢維持が困難なほどのふらつきや眼振といった脳神経疾患を示唆する所見が認められたため、
飼主様へのご説明、ご相談の上、さらなる精査のための頭部MRI検査を翌日に実施しました。
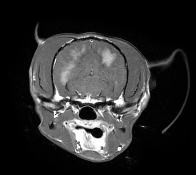
頭部MRI検査では重度の脳圧亢進所見(脳の浮腫)、大脳の後頭葉領域に炎症所見が認められ、脳炎(特に肉芽腫性髄膜脳脊髄炎:GME)が第一に疑われるという結果でしたが、
脳圧亢進所見が重度のため脳脊髄液(CSF)検査が実施できず、確定診断には至りませんでした。


しかし、やはり第一に肉芽腫性脳脊髄炎(GME)の可能性が高いことより、ステロイドや抗痙攣薬による治療を開始し、2週間後に再度頭部MRI検査を実施し、経過を評価することとなりました。
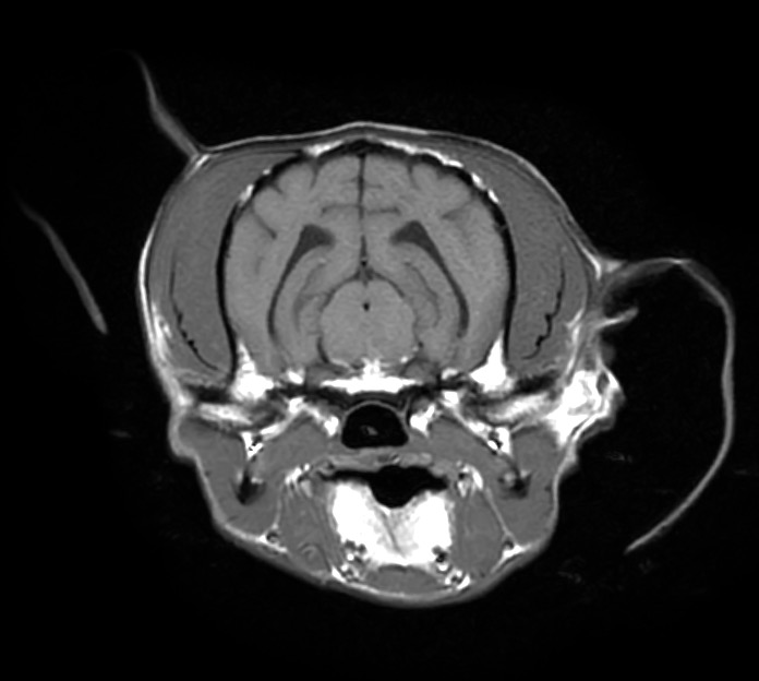
治療開始2週間後に実施した頭部MRI再検査では、脳の浮腫といった脳圧亢進所見、大脳後頭葉領域の炎症所見がすべて改善し、 わんちゃん自身もふらつきや眼振は無くなり、元気や食欲といった一般状態も極めて良好でした。

脳炎は治療をストップすると再発する恐れがあるため現在も治療継続中ではありますが、
早期診断→早期治療を行えたため、現在も良好な経過をたどっています。
文責:獣医師(文京区本駒込動物病院) 多喜
[内科症例一覧]